Inside Financial News
No Result
View All Result
Wednesday, December 17, 2025
  • Home
  • News
    • Precious Metals
    • Battery Metals
    • Energy
    • Special Situation
    • Tech
    • Biotech
    • Crypto
  • Expert Opinions
    • Economy
    • Business
    • Markets
  • Contact Us
  • Home
  • News
    • Precious Metals
    • Battery Metals
    • Energy
    • Special Situation
    • Tech
    • Biotech
    • Crypto
  • Expert Opinions
    • Economy
    • Business
    • Markets
  • Contact Us
No Result
View All Result
Inside Financial News
No Result
View All Result
Home News Battery Metals

Surgeon removes large brain tumours through patients’ eyebrows in ‘world first’ | UK News

by Inside Financial
October 25, 2024
in Battery Metals, Biotech, Crypto, Energy, Gadget, Markets, Politics, Precious Metals, Real Estate, Startup, Tech
0
Surgeon removes large brain tumours through patients’ eyebrows in ‘world first’ | UK News
152
SHARES
1.9k
VIEWS
Share on FacebookShare on Twitter

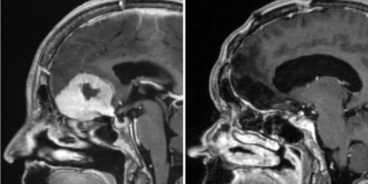
A surgeon is removing brain tumours “the size of large apples” through patients’ eyebrows, in what is believed to be a world first.

Consultant neurosurgeon Anastasios Giamouriadis, based in Aberdeen, has adapted an existing technique to remove the growths, leaving patients with only a small scar and black eye.

The operation can be over in three hours, and some people can leave hospital just 24 hours later and return to work within days.

“With this technique patients wake up straight way, they sometimes go home the day after the operation, where we know patients have quicker and better recoveries,” said Mr Giamouriadis.

Dealing with tumours at the front of the brain normally requires surgeons to remove a large portion of the skull – exposing healthy parts of the brain in the process – in what is known as a craniotomy.

Image:
Consultant neurosurgeon Anastasios Giamouriadis. Pic: PA

Mr Giamouriadis who works for NHS Grampian said this type of surgery is not new, but he has modified it to give him “more space, through the eyebrow” allowing him “to remove very big brain tumours”.

The technique is “a game-changer and much less invasive”, he said. “Traditionally people would be left with scars across their full forehead, we avoid that with this method.”

“Before we needed do a craniotomy to give us full access. That takes a very long time. To get to the tumour takes up to three hours alone. In total that approach will take eight to 10 hours.”

Image:
Doreen Adams with Anastasios Giamouriadis. Pic: NHS Grampian

Doreen Adams, 75, underwent a craniotomy to remove a tumour abroad before later undergoing the eyebrow method last year – known as the Modified Eyebrow Keyhole SupraOrbital Approach for Brain Tumours.

She said: “The recovery after the craniotomy was tough. I contracted sepsis and was ill for a number of weeks and the recovery took a lot of time. Unfortunately that surgery did not solve the problem.

“For me, the difference in the two surgeries is night and day. My recovery… was much, much quicker. I was out of hospital two days later and back to my normal life almost immediately.”

Read more from Sky News:
Pizza with a side of cocaine
Airport sign causes outrage

Mr Giamouriadis and his team have performed the new procedure on 48 patients so far.

Speaking about his modified surgical technique, he said: “We are not aware of anywhere else in the world that has managed to remove tumours as large as we have.”

Mr Giamouriadis is hopeful he can one day use virtual reality to teach other surgeons how to perform the new improved procedure.

Source link

Previous Post

Japan, U.S. finance chiefs discussed FX moves in bilateral meeting – Yahoo Finance

Next Post

Spirit Airlines to Trim Workforce, Sell Aircraft to Help Shore Up Liquidity

Next Post
Global Stocks Advance as Tech Rally Continues: Markets Wrap – Yahoo Finance

Spirit Airlines to Trim Workforce, Sell Aircraft to Help Shore Up Liquidity

Please login to join discussion

Twitter Feeds

  • Trending
  • Comments
  • Latest

Institutional Bitcoin Adoption Accelerates: Hyper Bit Technologies Steps Into the Spotlight

June 23, 2025
Crypto’s Wild Ride and the Crypto Miners that are the backbone of an industry

Crypto’s Wild Ride and the Crypto Miners that are the backbone of an industry

May 22, 2025

Mining’s “Tom Brady” – Bob Dickinson Fuels Copper & Gold Discovery

January 31, 2025
Lithium M&A Continues with Rio Tinto’s $6.7 Billion Arcadium Lithium Acquisition – Lithium Explorers and Developers begin rallying

Lithium M&A Continues with Rio Tinto’s $6.7 Billion Arcadium Acquisition and Piedment Sayona $623 Million Merger – Lithium Explorers and Developers begin rallying

November 21, 2024

High Street Retailers Pin Hopes On Discount Splurge In Black Friday Fever

0

UK Faces Two Decades of No Earnings Growth and More Austerity

0

High-Speed Traders In Search of New Markets Jump Into Bitcoin

0

Brexit Has Created A Political Climate No Budget Can Fix

0

Bitcoin All-Time High: Hyper Bit Technologies Rides Wave of Institutional Crypto Momentum

July 16, 2025

Institutional Bitcoin Adoption Accelerates: Hyper Bit Technologies Steps Into the Spotlight

June 23, 2025

Uranium Powers Up: Meta’s Nuclear Deal Sparks New Era for AI and Energy Security

June 23, 2025
Crypto’s Wild Ride and the Crypto Miners that are the backbone of an industry

Crypto’s Wild Ride and the Crypto Miners that are the backbone of an industry

May 22, 2025

Recent News

Bitcoin All-Time High: Hyper Bit Technologies Rides Wave of Institutional Crypto Momentum

July 16, 2025

Institutional Bitcoin Adoption Accelerates: Hyper Bit Technologies Steps Into the Spotlight

June 23, 2025

Categories

  • Acquisition
  • ATH
  • Aviator
  • Battery Metals
  • Biotech
  • Bitcoin
  • BTC
  • Business
  • Copper
  • Crypto
  • Economy
  • Energy
  • Expert Opinions
  • Finance News
  • Gadget
  • Gold
  • Lithium
  • Markets
  • Mining
  • News
  • Politics
  • Precious Metals
  • Real Estate
  • Special Situation
  • Startup
  • Stocks News
  • Tech
  • Tech
  • Uncategorized

Site Navigation

  • Home
  • Advertisement
  • Contact Us
  • Privacy & Policy
  • Other Links
Inside Financial News

We bring you the best website that perfect for news, magazine, personal blog, etc. Check our landing page for details.

© 2025 Inside Financial News

No Result
View All Result
  • Home
  • News
    • Precious Metals
    • Battery Metals
    • Energy
    • Special Situation
    • Tech
    • Biotech
    • Crypto
  • Expert Opinions
    • Economy
    • Business
    • Markets
  • Contact Us

© 2025 Inside Financial News

Subscribe Now For A Chance To Win Big!